牙齿种植
精工种植
All-on-4
即刻种植
无痛种植
ITI
费亚丹
奥齿泰
登腾
Bicon
诺贝尔
美国3I
展开更多
牙齿矫正
MBT矫正
自锁托槽
陶瓷矫正
隐形矫正
舌侧矫正
时代天使
隐适美
3M矫正
活动翼
展开更多
牙齿修复
Lava全瓷牙
瓷贴面
美容冠
烤瓷牙
牙齿缺损
牙齿美白
炫彩美白
色素牙
氟斑牙
四环素牙
儿童齿科
无痛补牙
窝沟封闭
涂氟
龋齿预防
乳牙滞留
无痛治疗
牙龈炎
牙周炎
根尖周炎
普通根管
显微根管
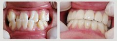
这个暑假,“歪牙”让孩子变得更自信
隐形矫正是什么
牙套要戴多久 不同牙套配戴时间
戴牙套一般要多久
福州做牙齿矫正哪家医院较好
牙齿矫正有年龄限制吗
矫牙多少钱
隐形矫正的效果怎么样
矫正地包天多少钱
矫正龅牙要多久
龅牙矫正年龄
成人做牙齿矫正要多少钱
儿童矫正牙齿的年龄
福州牙齿矫正价格
牙齿矫正后的保持器
儿童龅牙矫正要多少钱
儿童地包天怎么矫正
儿童换牙期家长应注意什么
儿童牙齿拥挤的危害
儿童牙齿矫正存在哪些误区
儿童什么时候矫正比较好
首页
上一页
41
42
43
44
45
46
47
48
49
50
51
下一页
末页
1
2
3
4
5
6
7
8
9
10
11
12
13
14
15
16
17
18
19
20
21
22
23
24
25
26
27
28
29
30
31
32
33
34
35
36
37
38
39
40
41
42
43
44
45
46
47
48
49
50
51
52
53
54
55
56
57
58
59
60
61
62
63
64
65
66
67
共
67
页
1332
条
(本网站已加密,绝对保障个人隐私)
就诊姓名:
病种类型:
牙齿种植
牙齿矫正
牙齿修复
牙齿美白
儿童齿科
无痛治疗
年龄:
预约时间:
联系电话:
电话咨询
0元┆试戴
在线咨询