矫正地包天多少钱

爱牙热线0591-88681777次浏览

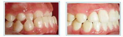
地包天矫正多少钱你了解吗

地包天通常是由遗传因素、生长发育过程中的不良生活习惯所所导致,严重地包天不仅影响面相美观,而且影响进食及正常发音,并且严重的影响人际交往和择偶,因此,地包天要及早到正规医院矫正,那做矫正地包天多少钱呢? 直接与医院在线医师一对一通话,方便!快捷!了解详情就医指导。

一、矫正地包天的多少钱要看患者个人情况

地包天患者不同的症状、不同的体质、不同的手术方案、身体情况、身体反应、复原能力都决定了地包天矫正多少钱的不同,说到底后还是地包天患者决定地包天矫正价格。

二、矫正地包天的多少钱要看采用的手术方案

1、单纯因为牙齿的排列错乱造成的地包天,上下颌骨的发育及位置正常,此类地包天不需要做地包天矫正,只需请口腔科医生重新排列牙齿即可,价格相对便宜。2、地包天由于上下颌(hé)骨发育异常造成的,则需要采用地包天矫正手术来治疗。也就是下颌前突畸形整形。具有手术时间短,疗效显着,恢复快等优点。 点这里,直接预约医生!方便快捷!

三、矫正地包天的多少钱要看选择的医院医生

地包天矫正并不是一个简单的手术,地包天矫正是否安全的关键在于地包天矫正医师是否具有流行的时尚审美观和熟练,在于地包天矫正医院是否拥有先进的设备。地包天矫正医院所拥有的医资,设备,水平,层次的不同,也影响了地包天矫正多少钱的高低。医生介绍说,由于地包天矫正相对来说是比较有难度的,所以一定要选择专业正规的口腔医院进行,以免矫正失败,影响您的多年!

由此可见,患者应当注意选择正规的牙齿整形医院,不要一味地去看价钱,应当更加注重性价比。可以通过发送图片,让医师来判断,确定您的具体矫正价格。

贝臣齿科推出——德国仿生美容冠修复

贝臣齿科引进的仿生美容冠术是牙齿美容中的一种新型术,它吸取了美牙术的长处,突破传统仿生美学修复的弊端,将德国VITA比色术,专业微创术和口腔内窥镜数码定位有机结合起来,做到美牙更舒适不拔牙、牙齿坚固、多年后牙齿不出现黑线等优点。

医师建议:选择的不同,导致矫正地包天的效果也是有很多的差别。因此,医师建议您,在选择医院的时候,要根据自身的症状和经济条件实际去考虑,不能盲从。 如果您还有什么疑问的话,欢迎咨询在线医生,医生会为您提供详细的解答,并给您合理的建议,欢迎咨询预约!

(本网站已加密,绝对保障个人隐私)

  • 就诊姓名: 
  • 病种类型:  年龄: 
  • 预约时间: 
  • 联系电话: 
  • 0元┆试戴 在线咨询