四环素牙会有哪些危害呢

爱牙热线0591-88681777次浏览

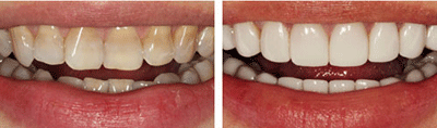
四环素牙是一种典型的牙齿色变类型。四环素牙是由于服用了过多的四环素类药物引起的。四环素牙是困扰很多人的问题,影响心情没有自信,久而久之可能会有点自卑,那么四环素牙会有哪些危害呢?
 


 

【四环素牙会有哪些危害呢】
 

影响外在形象。四环素牙患者一笑就会露出一口药物变色牙,这会对一个人在外在形象造成极大的影响。影响心理健康。正如我们希望得到周围的人喜欢、尊重和有修养一样,注视一个人的身体外观是人普遍的特性。如果对牙齿不满意,个别患者可能通过对社会消极反应,或通过损害自己的自尊心来安慰自己。
 

导致牙齿疾病。四环素不仅引起牙齿变色,还可伴发不同程度的釉质发育不全即牙釉质钙化程度降低或缺损,这种牙齿容易发生蛀牙;此外,还可引起使骨组织生长缓慢。四环素导致牙齿变色的程度与用药剂量、持续时间及牙齿发育状况有关,牙齿形成期时服用药物越早、用药剂量越大,用药时间越长,则牙齿变色越重,伴发牙釉质发育不全也越严重,甚至出现牙釉质缺损。
 


 

【美白方法】
 

贝臣齿科采用的炫彩美白,是一项正流行于欧美的新兴的牙齿美白。它不仅可以去除牙齿表面的色素沉积,及深层所附着的色素,美白的效果持久有效,仅需短短的30分钟,即可让您拥有一口润白亮泽的牙齿。
 

具有持久、自然、快速、专业、安全等五大优势。对于一般色素牙(如:咖啡渍、茶渍、烟渍沉积、槟榔染色等)、中轻度四环素牙、氟斑牙、药物性变色牙、遗传性黄牙等外源性和内源性牙齿颜色难看问题都可解决。

(本网站已加密,绝对保障个人隐私)

  • 就诊姓名: 
  • 病种类型:  年龄: 
  • 预约时间: 
  • 联系电话: 
  • 0元┆试戴 在线咨询