成年人牙齿隐形矫正的效果怎么样

爱牙热线0591-88681777次浏览

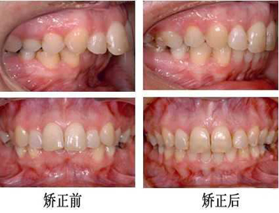
想要具体了解成年人牙齿隐形矫正的效果怎么样>>>点击【在线咨询】直接问医生!方便!快捷!现今社会中,谁不想拥有一口白牙,但很多成年人因为幼时的生活习惯,所造成的牙齿不齐,等症状。下面让我们随专家一起看看,成人隐形矫正牙齿效果如何?

【成人隐形矫正牙齿效果如何】

成人隐形矫正牙齿效果如何?隐形牙套是这几年在美国首先发展起来的,这种技术与以往的牙齿矫正有了很大区别,首先医生用计算机把患者的牙齿进行三位重建,分析哪些牙齿需要矫正,然后用计算机调整牙齿位置,把每一步移动后的图像输出,按图制作牙套,患者戴上牙套进行矫正,这是一种用塑料做的牙套,厚度大概在零点几毫米,包在牙齿上,对牙齿有力量,旁人不容易看出来做了牙齿矫正。

成人隐形矫正牙齿效果如何?在进行隐形牙齿矫正上,具有众多的优点,除了上面的美观之外,还很方便,在日常生活中的摘戴都很方便;隐形矫正的技术也是很安全可靠的,对于矫正的力度能够很好地掌控,确保了矫正的安全;使用隐形托槽进行矫正比起一般的金属托槽更容易清洁,维护起来更容易,能够有效避免牙龈炎和牙齿细菌的增生演变成为牙齿疾病。>>>点这里,直接预约医生!方便快捷!

隐形矫正有很多优点,其中无托槽,可自行摘戴,透明,是它的 大亮点。可自行摘戴使清洁牙齿变得更加轻松自如。透明的牙套戴在牙齿上,别人看不见,想给你起外号也起不了了,人家只有羡慕的份。便捷,短而有效的治疗疗程,治疗时间短。透明,隐形牙套让您在别人毫无察觉中完成牙齿矫正,解决了许多患者对牙齿矫正的美观顾虑。

☆隐形矫正>>>摒弃传统牙箍,牙齿在悄然间改变

每两周更换一副的无托槽隐形矫治器,每个矫治器均在计算后逐个生产以便逐步将牙齿矫正到理想位置。

1.高满意度:全球尖端隐形矫正产品,满意度超过96%

2.自行摘戴:随时取下矫治器以便正常进食和喝水

3.完全隐形:采用纳米技术,透明光滑,舒适美观

4.方便省时:复诊次数少,仅需4-6周复诊一次

☆陶瓷半隐形矫正>>>效果超乎想像 舒适度与矫正速度并存

量齿定制近乎无法察觉的透明牙托来完成整个矫正疗程,矫正过程中只露出中间的一条小细线,质地光滑圆润,美观度好。

1.美观度好:只露出中间一条小细线

2.性价比高:价格适中,适合所有消费人群

3.舒适自在:佩戴时舒服自在,自然不拘束

4.方便清洁:刷牙、进食可取下,维护方便

☆自锁托槽矫正器技术>>>小巧、省时、舒适、美观

1.快速方便,缩短正畸周期半年以上

2.稳定高效,牙齿有效移动,效果稳定。

3.卫生安全,独特托槽设计和无结扎方式,有利于牙组织健康

4.舒适矫正,低摩擦力,轻柔矫治力,不易感觉痛苦和不适感

(本网站已加密,绝对保障个人隐私)

  • 就诊姓名: 
  • 病种类型:  年龄: 
  • 预约时间: 
  • 联系电话: 
  • 0元┆试戴 在线咨询