龅牙治疗矫正有什么方法

爱牙热线0591-88681777次浏览

有容貌漂亮身材固然好,但牙齿也相当重要哦,有人一开口就是地包天的牙齿,又或者是龅牙,这都是破坏美貌的元凶。现在我们就来了解清楚龅牙什么时候矫正好?>>>点击免费咨询,或者 拨打24小时美牙热线0591-88681777免费咨询,贝臣齿科医生为您解答!

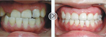
医生介绍:“龅牙”是东方人种中为常见的一类牙颌面畸形。在医学专业上实质是上颌前突畸形或双颌前突畸形,一般不伴有严重的功能障碍,但非常影响美观,患者求治的目的主要是为了改善容貌。

医生介绍,龅牙会给朋友们带来美观的影响,长有龅牙还会非常影响牙齿的功能。面对这样的情况我们可以通过牙齿矫正的方法来改变,至于龅牙矫正的费用自然有多方面的因素。

对于儿童时期龅牙的矫正可以采用戴矫正器,纠正不良口腔习惯等方法。但对于成年人,骨骼已经完全发育,龅牙的矫治就不是单纯的矫正问题了,往往需要整形美容手术并结合常规的矫正治疗才能获得理想的效果。所以如果小孩有龅牙,请及时带小孩去治疗。>>>文字看累了?点击直接咨询医生吧!

我是做业务的,而且做的是化妆品的业务。但是在众多主管中,就我的业绩不好。当然我知道原因何在,因为我没有他们自信。可是自信本就不是天生的,我不自信的原因在于我的牙齿有“龅牙”,一看,牙形改变,好难看的牙形,所以每次跟客户谈判的时候,我都底气不足。

龅牙对我的影响真的非常大,我也想过要去做牙齿矫正,但是一想到我27岁了,已经错过了矫正牙齿的佳年龄,而且每次跟客户谈判的时候都戴一副牙套,总感觉这样不好,于是退却了!

又一次无意中上网,看到了贝臣齿科引进的全透明隐形正畸技术时,我就心动了。因为全透明隐形正畸技术是很美观的,而且几乎完全隐形。在别人毫无察觉中完成牙齿矫正,解决了我们患者对矫正牙齿的美观顾虑。而且全透明隐形正畸技术很舒适,因为没有传统意义上的托槽、钢丝等矫正装置,矫正过程不再痛苦。对牙周组织的刺激及不适感低。全透明隐形正畸技术比较方便,因为可自行摘戴,不影响社交、进食、运动等。同时复诊次数减少,节约您的宝贵时间。

全透明隐形正畸技术的清洁很方便,口腔卫生容易维护,托槽容易拆卸,所以很容易清洁,也不必担心牙龈炎、牙齿脱矿、变色等问题。全透明隐形正畸技术的矫正过程很便捷,短而有效的治疗疗程,一般治疗约9-12月即可完成。传统方法治疗时间约8小时,隐形正畸仅为3小时。

这么好的牙齿矫正技术,我一定能找回我的自信,所以我选择了全透明隐形正畸技术,远离那不堪回首的龅牙时代。

现在,通过矫正后,我的牙齿又白又整齐了,跟客户谈判我也自信了好多!我相信这个月我的业绩将会有快速的上升!我也更相信我以后的人生会更加精彩。还有不明白的,点击免费咨询,或者拨打24小时贝臣美牙热线0591-88681777咨询,贝臣齿科医生为您解答!

(本网站已加密,绝对保障个人隐私)

  • 就诊姓名: 
  • 病种类型:  年龄: 
  • 预约时间: 
  • 联系电话: 
  • 0元┆试戴 在线咨询