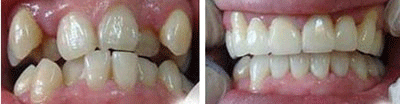
牙齿拥挤会引起什么问题

爱牙热线0591-88681777次浏览

牙齿拥挤会引起很多的疾病,会对牙齿口腔造成一定的困扰。虽然说很多的害处我们感觉不到,但是在潜移默化中,会慢慢的对牙齿口腔产生负担。

牙齿拥挤会引起什么问题

1、牙列拥挤影响牙齿清洁

因为牙齿的拥挤,导致吃东西食物容易残留在拥挤处,造成牙齿清洁困难,而且不容易清洁,很容易形成细菌,软垢,从而导致牙齿变色,口臭等疾病。

2、牙列拥挤影响颌骨发育

某些牙齿排列不齐,会妨碍上下牙弓颌骨的正常发育,使得牙齿畸形。

3、牙列拥挤易患牙病

牙列拥挤就很难保证口腔卫生,由于刷牙不容易刷干净,细菌滋生繁殖就很迅速,使牙齿容易发生龋齿,牙龈也很容易发炎。

有些咬合关系不好的牙齿,咀嚼食物时,个别牙齿上下相互冲撞,牙齿经常受到不正常的压力,使牙周支持组织、牙周膜及牙槽骨受到过重的冲撞力,引起牙周组织的疾病。

4、牙列拥挤影响上下颌牙齿之间的咬合关系

牙齿拥挤会导致上下牙齿咬合不准确,进而影响正常的咀嚼功能,降低咀嚼效率,久而久之,可能因此而引起消化不良和胃肠功能的紊乱,也会使得另一些牙齿承受了更大的力量。

(本网站已加密,绝对保障个人隐私)

  • 就诊姓名: 
  • 病种类型:  年龄: 
  • 预约时间: 
  • 联系电话: 
  • 免费送┆种植牙一颗 在线咨询