微创种植牙优势

爱牙热线0591-88681777次浏览

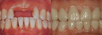
想要具体了解微创种植牙优势 点击【在线咨询】直接问医生!方便!快捷时下大家都知道缺牙不仅影响美观,还影响身体健康。随着人们对美的追求,对健康的重视,缺牙者都迫不及待想要做假牙。市面上假牙种类越来越多,其中种植牙倍受缺牙者欢迎。

微创无痛种植牙,该技术是在传统种植牙的基础上,用特殊的手术方式和技术来完成种植牙的植入过程,利用3~4毫米的小切口,将人工牙根"种"入口腔内, 摆脱了传统种植牙切开翻起牙龈、缝合、拆线等步骤,将创伤降低到小程度,大大减少了肿痛和出血量。是种植牙领先的"微创"技术,让种植牙彻底告别疼痛, 种植过程缩短到快10分钟。 直接与医院在线医师一对一通话,方便!快捷!了解详情就医指导。

微创种植牙三大优势

1.出血少,伤口小,进入手术“微”时代

使用常规手术器具进行种植手术不仅需要进行麻醉还有可能因为出血较多导致医生的手术视野不清晰。种植牙一期手术植入时,清创效果好,术后反应小,而结合使用水激光进行水激光手术环切或二期手术时,出血少,术后无疼痛不适,伤口愈合快,为医生提供了良好的视野。

2.有效消毒、杀菌,进一步保证手术成功率

在种植牙手术和即可种植期间,水激光带有的激光作用能对手术区域杀菌控制肿胀,降低感染,有效提升种植成功率。 点这里,直接预约医生!方便快捷!

3.疗程短、恢复快,日常生活“微”影响

在种植牙维护过程中,水激光的弱激光生物刺激性能缩短术后的恢复时间,减少对病患日常生活的影响。传统的种植牙会出现局部水肿及瘀斑,一般持续3—5天左右。同时种植体周围炎是种植牙术后很令患者和医生担心的问题,而定期进行水激光术后维护能够有效防止种植体周围炎发生,同时延长种植牙使用寿命。

种植牙已经成为当今牙齿修复很好的方法,所以很多朋友都选择种植牙来进行自己牙齿缺陷的修复,但是面对众多的种植牙医院大家该如何选择呢。

微创,出血少,减轻患者痛苦

传统的植牙周期较长,通常在植入人工牙根2至3个月后,才安装牙冠牙桥的。而一些牙骨槽相对较薄的患者在做种植牙时,由于技术限制,往往被告之要先做创伤性较大的植骨手术;治疗时再做翻瓣手术,愈合也要耗费很多时间的。种植牙采用的是电脑导向微创植牙术,避免了漫长的愈合期,大大减轻患者的痛苦。

技术先进,治疗时间短,术后不疼痛肿胀

微创植牙技术是基于当今 先进的三维成像检测术、电脑导航术、激光定位术、即刻微创种植术等前沿口腔科术,一小时即可种出一口活牙,减少手术感染的风险。由于时间短,不须开刀,仅需将牙龈打开一个微孔,然后植入人工牙根,术后几乎不会疼痛和肿胀。

(本网站已加密,绝对保障个人隐私)

  • 就诊姓名: 
  • 病种类型:  年龄: 
  • 预约时间: 
  • 联系电话: 
  • 0元┆试戴 在线咨询