如何选择种植牙材料

爱牙热线0591-88681777次浏览

想要具体了解如何选择种植牙材料 点击【在线咨询】直接问医生!方便!快捷现如今,人们在健康的前提下也及其重视美观度,而牙齿的美观也是人们关注的。对于缺牙的顾客来说,种植牙是他们目前选择,种植牙无论在美观度还是各方面功能上,都极其接近自然牙,被众多顾客称为“人类的第三副牙齿”。 直接与医院在线医师一对一通话,方便!快捷!了解详情就医指导。

如何选择材料 一定要选择正规医院通过与医生的交流决定

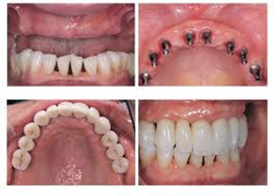
种植牙是用生物材料制成的一种仿生牙,分为植入人体颌骨内起固位作用的种植体(压根部分)和承担咀嚼作用的牙冠两部分。医生根据顾客失牙后槽骨和颌骨的变化,选用一定形状的种植体植入颌骨内作为人造压根,然后在其露出口腔内的种植桩上安装牙冠。 点这里,直接预约医生!方便快捷!

当然做种植牙选择材料因素也是很重要的,材料选择好了,种植牙的寿命也会久一点。下面我们一起来跟着医生了解植牙材料分哪些种类,但具体选择哪种材料也需到医院检查后才可确定。

1、碳素材料类:该材料化学性质非常稳定,不会被生物降解。但脆性大,并呈现黑色,使用范围受限。

2、陶瓷材料类:陶瓷材料坚固耐用,耐腐蚀,对人体没有毒副作用,与组织相容性好,是目前常使用的牙齿种植材料。常见的材料有生物惰性陶瓷、生物活性陶瓷、生物降解性陶瓷等。

3、高分子材料类:常见的高分子材料丙烯酸酯类、聚四氟乙烯类等。虽然高分子材料的化学结构接近于人体结构中的天然高分子,但是还是比较容易被生物体降解从而造成刺激。

4、金属与合金材料类:金属和合金材料有很好的强度和硬度,但生物机械适应性和组织、骨适应性都不是很好。常见的材料有金、铁铬镍合金、铸造钴铬合金、钛及合金等。

选择好的材料只是其中的一点因素,其选择好的种植牙技术可直接影响一副种植牙的成功与否。

种植牙具有以下优点

一、种植牙种植体的环保材质。由于具有比真牙更优越的导热性及高密度特性,不仅口感媲美真生原牙,而且硬度比真牙还要高;

二、能够快速的与口腔融合。大大缩短口腔与假牙的适应时间,整个口腔种植时间也控制在一个小时以内,颠覆了以往种植牙需要来回折腾大半年的烦恼,且即种即用,即上午种牙,晚上就能行使牙齿功能。

三、充分展示红白美学效果。将美学的观念由始至终贯穿到整个种植牙的过程中,这样种植成功后的牙齿大小、性状、颜色以及牙龈线的高度等均与顾客自然生长的牙齿协调,从而实现整体逼真、自然,以假乱真的效果。

(本网站已加密,绝对保障个人隐私)

  • 就诊姓名: 
  • 病种类型:  年龄: 
  • 预约时间: 
  • 联系电话: 
  • 0元┆试戴 在线咨询