种植牙费用

爱牙热线0591-88681777次浏览

想要具体了解种植牙费用 点击【在线咨询】直接问医生!方便!快捷随着生活水平的逐渐提升,促使很多朋友们在生活上也开始出现不少的嗜好。而这些嗜好长此以往会导致人们出现牙齿缺失现象。然而,至种植牙的面世吸引着不少牙缺失朋友,但是还是有许多朋友对种植牙的费用方面产生疑问,对此医生就针对这一疑问为大家做下详细的介绍。 直接与医院在线医师一对一通话,方便!快捷!了解详情就医指导。

种植牙具体多少钱是一个不确定的数字,因为影响种植牙因素的条件很多,下面就为大家介绍如今几点具体因素:

1、试牙缺失患者个人口腔情况

每个爱美者牙齿的具体情况都是不一样的,所以在种植牙前,医生会让爱美者进行详细的检查,并且结合顾客自身的具体情况来制定适合顾客个性化的方案。因为顾客所选择的治疗方案不同,那么种植牙的费用也就会不一样。

2、与选择种植牙材料因素有关

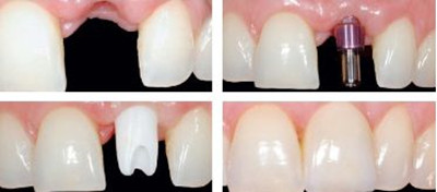
目前,种植牙的材料有金属与合金材料类、碳素材料类、高分子材料类、陶瓷材料类、复合材料类等,这些材料的修复效果都非常好,而牙缺失患者需要根据自身的具体情况来进行选择。贝臣齿科常用的种植体材料只要是钛,钛的理化性质以质轻、不锈和高强度加工性能好著称。在医疗上的应用广泛如人工骨及关节、心脏瓣膜、心脏起博器、牙种植体等。 点这里,直接预约医生!方便快捷!

钛的耐磨性好,耐腐蚀性好,主要是表面形成氧化膜,被氧化性常温下稳定,空气中加温到800℃以上氧化激烈;具有半导体性;弹性模量低,与骨相近,能产生共振;生物相容性好,无毒低风险,在蓉城深受市民的青睐。

3、医院和医生的选择也是因素之一

其实选择一位好医生和一家的牙科医院,才是不浪费每一分钱的做法。试想,如果我们选择不当,那导致的后果将是一个无底洞,痛苦的是还要花更多的钱。

种植牙作为牙科中非常难治疗技术之一,它的成功率受到多方面因素的影响。其中先进的设备就是一个很重要的问题,假如没有CT机的精准成像,那么种植牙的失败率是很高的。而目前,贝臣齿科采用先进诊疗设备,其中包括:即刻种植系统、美牙系统、正畸系统、数字显微修复系统等均按照。

另外,医生的重要性也丝毫不在先进设备之下,在有先进设备的情况下,一个技术的医生可以种植牙成功率无限接近于100%。而如何定义一个的种植牙医生呢?他应该具有10年以上的种牙临床经验,并且拥有10年以上的临床经验。 点这里,直接预约医生!方便快捷!

福州种植牙哪家医院好?贝臣齿科

贝臣齿科种植牙术是种植牙领域内的品牌,其治疗效果更优于传统种植术,进口种植牙体是基于计算机引导下的自动设计和水激光定位,使得种牙过程由原来的手工操作转化为自动化处理,变得相当精准快捷。用这种方法种牙,不仅患者的义齿质量有保证,而且等待的时间可由原来的7天减少到不足1个小时。作为一种革命性的治疗计划和手术实施系统,由于可以先进行口外计划,效果可以预知,之后才在口腔内实施,而且极为精准、方便、快捷。

(本网站已加密,绝对保障个人隐私)

  • 就诊姓名: 
  • 病种类型:  年龄: 
  • 预约时间: 
  • 联系电话: 
  • 送┆种植牙一颗 来院路线