全口种植牙都有哪些优点

爱牙热线0591-88681777次浏览

想要具体了解全口种植牙都有哪些优点 点击【在线咨询】直接问医生!方便!快捷我们都知道种植牙对于我们身体是的,而且技术也是其他技术不可以比的。种植牙还可以使患者掉了的牙齿恢复到以前的咀嚼状态,和真牙几乎是一样的,而很有人能分辨出来有什么其他的差别的,所以不管在外观还是其他的功能上,种植牙总是能尽善尽美,那么全口种植牙都有哪些优点?就来看看医生是如何介绍的吧。 直接与医院在线医师一对一通话,方便!快捷!了解详情就医指导。

全口种植牙有哪些优点?

长期以来,牙齿缺失一直困扰着很多朋友,虽然在十年前就已经出现了牙齿种植,但是传统全口义齿容易出现松动、反反复作的疼痛、溃疡及咀嚼不良等不适反应,遇到这种情况,部分患者往往无法接受常规的全口义齿修复。然而,种植覆盖义齿的出现,大大改善了全口义齿修复后的功能和舒适性。

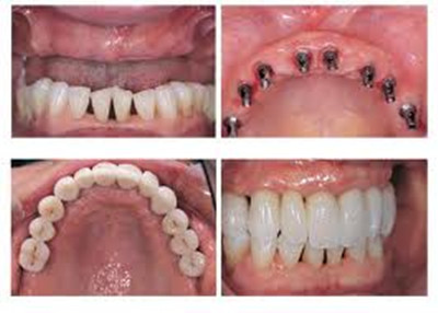
种植体支持的全口覆盖义齿是随着种植体应用的发展而逐渐成熟起来的一种修复设计,是一种以种植体固位支持的覆盖义齿,应用附着体技术来完善全口种植覆盖义齿的支持和固位,它使义齿更具有良好的修复效果,同时防止和减缓了种植体临近骨组织的吸收。附着体种类很多,包括磁性附着体、球帽附着体、杆卡式附着体等。该方法所需种植体数目少,手术难度低,费用少,创伤小,固位好,可明显提高咀嚼效率,能很大程度地恢复患者的美观和功能,对老年患者及经济条件有限的患者尤为适宜。 点这里,直接预约医生!方便快捷!

我们通过对患者的回访调查发现,患者的满意度有了明显提高,这是由于种植体的支持,义齿从单纯的黏膜支持变成了种植体和黏膜共同支持,义齿不易松动、受压疼痛,食物的选择上与正常人趋于,有些患者甚至能咀嚼花生、蚕豆等较硬食物,明显改善患者的生活质量。

医生推荐种植术——韩国 OSSTEM(奥齿泰)种植系统

奥齿泰是种植体生产商,在韩国口腔种植行业占有较大份额。产品先后得多国认证。经过数十万临床手术,得到了较好的检验。多样化的系列产品选择,根据不同的口腔环境和外科位置变化,方便植入、高成功率,达到更好的使用效果。

韩国奥齿泰种植系统是将高档金属经过专业的电脑设计,制造成牙根型的圆柱体,经由手术植入牙床骨内,经过4到6个月后,当人工牙根与牙床骨密合后,再于人工牙根上制作假牙。种植效果好,相容性高不破坏自然牙,像真牙很接近的外观;具有一样的咀嚼和吞咽功能;与组织相容性好,它是活动假牙寿命的6-7倍。

(本网站已加密,绝对保障个人隐私)

  • 就诊姓名: 
  • 病种类型:  年龄: 
  • 预约时间: 
  • 联系电话: 
  • 送┆种植牙一颗 来院路线